Framar.bg 0
0
Е-аптека Промоции
Здравна библиотека
Здравни проблеми Медицинска енциклопедия Заболявания Симптоми и признаци Алтернативна медицина Анатомия Медицински изследвания Лечения Физиология Патология Ботаника Микробиология Фармакологични групи Медицински журнал Взаимодействия История на медицината и фармацията Здравето А-Я
Диагностик
Здравна помощ
Здравен справочник Специалисти Здравни заведения Аптеки Институции и организации Образование Спорт и туризъм Клинични пътеки Нормативни актове Бизнес Социални грижи Форум Консултации
Здравна медия
Здравни новини Любопитно Интервюта Видео Презентации Научни публикации Анкети Бъди активен Кампании
Здраве и начин на живот
Хранене Хранене при... Рецепти Диети Групи храни и ястия Съставки Е-тата в храните Спорт Съвети Психология Лайфстайл Интерактивни
За нас
За Фрамар За реклама Статистика Общи условия Екип Кариера Адреси на аптеки Фрамар Блог Важно Автори Програма за лоялни клиенти Промоционална брошура
Контакти
Назад | Начало Автори във Framar.bg д-р Лихнида Цинцовска

д-р Лихнида Цинцовска

автор във Framar.bg

д-р Лихнида Цинцовска - изображение
  • Инфо
  • Публикации
  • Коментари
Инфо
Инфо
Публикации
Коментари

Д-р Лихнида Цинцовска е лекар-специализант. Завършила медицина в Медицински Факултет към Тракийски университет, Стара Загора. Във framar.bg е автор на статии свързани със заболявания и различни здравословни проблеми. 

Рубрики, в които е автор:

Заболявания

5.0/5 3 оценки

Публикации на автора

S51.9 Открита рана на неуточнена част на предмишницата

S51.9 Открита рана на неуточнена част на предмишницата

Заболявания
Всяко нараняване на кожата на предмишницата предизвикано от механичен травмираш агент, което води на...
https://medpedia.framar.bg/заболявания/мкб-s519-4/открита-рана-на-неуточнена-част-на-предмишницата
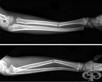
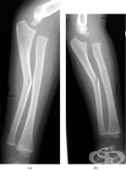
S52 Счупване на костите на предмишницата

S52 Счупване на костите на предмишницата

Заболявания
Счупване на костите на предмишницата могат да се класифицира в няколко групи според различни критери...
https://medpedia.framar.bg/заболявания/мкб-s52-3/счупване-на-костите-на-предмишницата
S52.0 Счупване на горния край на лакътната кост

S52.0 Счупване на горния край на лакътната кост

Заболявания
Към счупванията на горния край на лакътната кост спадат:Венечен израстък;Лакът;Счупване с изкълчване...
https://medpedia.framar.bg/заболявания/мкб-s520-4/счупване-на-горния-край-на-лакътната-кост
S52.1 Счупване на горния край на лъчевата кост

S52.1 Счупване на горния край на лъчевата кост

Заболявания
Счупване на горния край на лъчевата кост включва:Счупване на главичката на лъчевата кост;Счупване на...
https://medpedia.framar.bg/заболявания/мкб-s521-4/счупване-на-горния-край-на-лъчевата-кост
S52.2 Счупване на тялото [диафиза] на лакътната кост

S52.2 Счупване на тялото [диафиза] на лакътната кост

Заболявания
Увредите на тялото на лакътната кост са много чести и по-често се срещат при мъжете, което се дължи ...
https://medpedia.framar.bg/заболявания/мкб-s522-4/счупване-на-тялото-диафиза-на-лакътната-кост
S52.8 Счупване на други части на костите на предмишницата

S52.8 Счупване на други части на костите на предмишницата

Заболявания
Счупване на други части на костите на предмишницата:Долен край на лакътната кост;Главичка на лакътна...
https://medpedia.framar.bg/заболявания/мкб-s528-4/счупване-на-други-части-на-костите-на-предмишницата
S52.3 Счупване на тялото [диафиза] на лъчевата кост

S52.3 Счупване на тялото [диафиза] на лъчевата кост

Заболявания
Счупване на тялото [диафиза] на лъчевата кост са сравнително чести и са характерни за юношеската и м...
https://medpedia.framar.bg/заболявания/мкб-s523-4/счупване-на-тялото-диафиза-на-лъчевата-кост
S52.9 Счупване на неуточнена част на костите на предмишницата

S52.9 Счупване на неуточнена част на костите на предмишницата

Заболявания
Счупванията на костите на предмишницата са едни от най-често срещаните. Около 25% от всички счупвани...
https://medpedia.framar.bg/заболявания/мкб-s529-4/счупване-на-неуточнена-част-на-костите-на-предмишницата
S52.4 Съчетано счупване на диафизите на лакътната и лъчевата кост

S52.4 Съчетано счупване на диафизите на лакътната и лъчевата кост

Заболявания
Счупване на костите на предмишницата са едни от най-често срещаните. Механизъм на съчетано счупване ...
https://medpedia.framar.bg/заболявания/мкб-s524-4/съчетано-счупване-на-диафизите-на-лакътната-и-лъчевата-кост
S53.2 Травматично скъсване на колатералните връзки на радиуса

S53.2 Травматично скъсване на колатералните връзки на радиуса

Заболявания
Лъчевата надлъжна връзка е разположена от външната страна на лакътя и свързва радиуса (лъчевата кост...
https://medpedia.framar.bg/заболявания/мкб-s532-4/травматично-скъсване-на-колатералните-връзки-на-радиуса
S52.5 Счупване на долния край на лъчевата кост

S52.5 Счупване на долния край на лъчевата кост

Заболявания
Счупване на долния край на лъчевата кост е най-честото счупване на опорно - двигателния апарат на чо...
https://medpedia.framar.bg/заболявания/мкб-s525-4/счупване-на-долния-край-на-лъчевата-кост
S53.3 Травматично скъсване на колатералните връзки на улната

S53.3 Травматично скъсване на колатералните връзки на улната

Заболявания
Колатералните връзки на улната се разполагат от вътрешната страна на лакътната става и свързва лакът...
https://medpedia.framar.bg/заболявания/мкб-s533-4/травматично-скъсване-на-колатералните-връзки-на-улната
1267686970719495
На страница по:

Коментари към д-р Лихнида Цинцовска

От сайта (4)
Напиши коментар 4 коментара
  1. www.framar.bg отговаря
    www.framar.bg отговаря 
    на 20 January 2021 в 17:25

    Радослав Борисов

    Има питане Имам фиброза на черния. Дроб мога ли да дойда на преглед при вас Ако може ще сьм благодарен От София сьм

    Здравейте! Това е информационна страница, а не платформа за връзка с лекари.

  2. Радослав Борисов 
    на 19 January 2021 в 19:10

    Има питане Имам фиброза на черния. Дроб мога ли да дойда на преглед при вас Ако може ще сьм благодарен От София сьм

  3. www.framar.bg отговаря
    www.framar.bg отговаря 
    на 20 August 2020 в 13:10

    Златко Табаков

    На 68год.,със сериозни проблеми по отношение на незадържане на изпражнения или чревна инконтиненция.Можете ли да ми посочите лекар от гр.Варна за решаване на проблемите ми.Или ваши мнение и препоръки. zht52@abv.bg 0888 747861 Ще ви бъда безкрайно благодарен.

    Здравейте! Това е информационна страница, а не платформа за връзка с лекари. Ето списък със специалисти във Варна: Хуманни лекари Гастроентерология в Варна град

  4. Златко Табаков 
    на 20 August 2020 в 12:15

    На 68год.,със сериозни проблеми по отношение на незадържане на изпражнения или чревна инконтиненция.Можете ли да ми посочите лекар от гр.Варна за решаване на проблемите ми.Или ваши мнение и препоръки. zht52@abv.bg 0888 747861 Ще ви бъда безкрайно благодарен.

При възникнало съмнение за здравословен проблем или нужда от лечение, моля винаги се обръщайте за медицинска консултация към квалифициран и правоспособен лекар или фармацевт. В никакъв случай не възприемайте дадената Ви чрез сайта информация като абсолютно достоверна и правилна, дори и същата да се окаже такава.
Данни на Фрамар ООД:
  • Фрамар ООД, ЕИК: 123732525, Стара Загора, ул. Петър Парчевич № 26, телефон: 0875 / 322 000, e-mail: office@framar.bg
  • За контакт
  • Borika
  • MasterCard
  • mastercard securecode
  • Visa
  • verified by visa
Информация:
  • Общи условия
  • Политика за поверителност
  • Политика за използване на бисквитки
  • Право на отказ от договора
  • Рекламации
  • Доставка
  • Плащания
  • Отстъпки за регистрирани клиенти
  • Промоции и безплатна доставка
  • Често задавани въпроси
  • При възникване на спор, свързан с покупка онлайн, можете да ползвате сайта ОРС
  • Български Фармацевтичен съюз
  • Изпълнителна агенция по лекарствата
  • Комисия за защита на потребителите
  • Министерство на здравеопазването
БДА NextGenerationEU DMCA.com Protection Status
© 2007 - 2026 Аптеки Фрамар. Всички права запазени! Framar.bg във Facebook
Изработка на уеб сайт от Valival