Framar.bg 0
0
Е-аптека Промоции
Здравна библиотека
Здравни проблеми Медицинска енциклопедия Заболявания Симптоми и признаци Алтернативна медицина Анатомия Медицински изследвания Лечения Физиология Патология Ботаника Микробиология Фармакологични групи Медицински журнал Взаимодействия История на медицината и фармацията Здравето А-Я
Диагностик
Здравна помощ
Здравен справочник Специалисти Здравни заведения Аптеки Институции и организации Образование Спорт и туризъм Клинични пътеки Нормативни актове Бизнес Социални грижи Форум Консултации
Здравна медия
Здравни новини Любопитно Интервюта Видео Презентации Научни публикации Анкети Бъди активен Кампании
Здраве и начин на живот
Хранене Хранене при... Рецепти Диети Групи храни и ястия Съставки Е-тата в храните Спорт Съвети Психология Лайфстайл Интерактивни
За нас
За Фрамар За реклама Статистика Общи условия Екип Кариера Адреси на аптеки Фрамар Блог Важно Автори Програма за лоялни клиенти Промоционална брошура
Контакти
Назад | Начало Автори във Framar.bg д-р Лихнида Цинцовска

д-р Лихнида Цинцовска

автор във Framar.bg

д-р Лихнида Цинцовска - изображение
  • Инфо
  • Публикации
  • Коментари
Инфо
Инфо
Публикации
Коментари

Д-р Лихнида Цинцовска е лекар-специализант. Завършила медицина в Медицински Факултет към Тракийски университет, Стара Загора. Във framar.bg е автор на статии свързани със заболявания и различни здравословни проблеми. 

Рубрики, в които е автор:

Заболявания

5.0/5 3 оценки

Публикации на автора

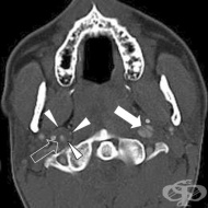
S15.8 Травма на други кръвоносни съдове на ниво шия

S15.8 Травма на други кръвоносни съдове на ниво шия

Заболявания
Травма на други кръвоносни съдове на ниво шия включва увреждане на шийната част на подключичната и б...
https://medpedia.framar.bg/заболявания/мкб-s158-4/травма-на-други-кръвоносни-съдове-на-ниво-шия
S15.3 Травма на вътрешна югуларна вена

S15.3 Травма на вътрешна югуларна вена

Заболявания
Двете вътрешни югуларни вени събират кръвта от мозъка, повърхностните части на лицето и шията. Етиол...
https://medpedia.framar.bg/заболявания/мкб-s153-4/травма-на-вътрешна-югуларна-вена
S17.0 Смазване на ларинкса и трахеята

S17.0 Смазване на ларинкса и трахеята

Заболявания
Притискане на ларинкс и трахея между две твърди повърхности предизвикано от кръш травма на шията се ...
https://medpedia.framar.bg/заболявания/мкб-s170-4/смазване-на-ларинкса-и-трахеята
S15.9 Травма на неуточнен кръвоносен съд на ниво шия

S15.9 Травма на неуточнен кръвоносен съд на ниво шия

Заболявания
При всяка тъпа или проникваща травма в областта на шията може да се разкъсат на кръвоносни съдове, п...
https://medpedia.framar.bg/заболявания/мкб-s159-4/травма-на-неуточнен-кръвоносен-съд-на-ниво-шия
S17.8 Смазване на други части на шията

S17.8 Смазване на други части на шията

Заболявания
Притискане на врата между две твърди повърхности, при което могат да настъпят различни увреждания на...
https://medpedia.framar.bg/заболявания/мкб-s178-4/смазване-на-други-части-на-шията
S16 Травма на мускули и сухожилия на ниво шия

S16 Травма на мускули и сухожилия на ниво шия

Заболявания
Почти при всяка тъпа или проникваща травма на шията се увреждат меките тъкани на шията. Травма на му...
https://medpedia.framar.bg/заболявания/мкб-s16-3/травма-на-мускули-и-сухожилия-на-ниво-шия
S17.9 Смазване на неуточнена част на шията

S17.9 Смазване на неуточнена част на шията

Заболявания
Травма, при която настъпва смазване на части от шията и първоначално не може да се даде точна диагно...
https://medpedia.framar.bg/заболявания/мкб-s179-4/смазване-на-неуточнена-част-на-шията
S17 Смазване на шията

S17 Смазване на шията

Заболявания
Смазване на шията се случва, когато врата е подложен на висока степен на сила или налягането, обикно...
https://medpedia.framar.bg/заболявания/мкб-s17-3/смазване-на-шията
S18 Травматична ампутация на ниво шия

S18 Травматична ампутация на ниво шия

Заболявания
Декапитация (от латински, caput, capitis, което означава, главата) е отделяне на главата от тялото. ...
https://medpedia.framar.bg/заболявания/мкб-s18-3/травматична-ампутация-на-ниво-шия
S19 Други и неуточнени травми на шията

S19 Други и неуточнени травми на шията

Заболявания
Травмата е най-честата причина за наранявания на врата. Шията е основната подкрепа за черепа. Нараня...
https://medpedia.framar.bg/заболявания/мкб-s19-3/други-и-неуточнени-травми-на-шията
S19.7 Множествени травми на шията

S19.7 Множествени травми на шията

Заболявания
Травми на шията, които обхващат няколко структури и различни видове наранявания се наричат множестве...
https://medpedia.framar.bg/заболявания/мкб-s197-4/множествени-травми-на-шията
S19.8 Други уточнени травми на шията

S19.8 Други уточнени травми на шията

Заболявания
Специфични травми на врата са: Травма на ларинкс и трахея; Травма на каротидната артерия; Травма на ...
https://medpedia.framar.bg/заболявания/мкб-s198-4/други-уточнени-травми-на-шията
1247484950519495
На страница по:

Коментари към д-р Лихнида Цинцовска

От сайта (4)
Напиши коментар 4 коментара
  1. www.framar.bg отговаря
    www.framar.bg отговаря 
    на 20 January 2021 в 17:25

    Радослав Борисов

    Има питане Имам фиброза на черния. Дроб мога ли да дойда на преглед при вас Ако може ще сьм благодарен От София сьм

    Здравейте! Това е информационна страница, а не платформа за връзка с лекари.

  2. Радослав Борисов 
    на 19 January 2021 в 19:10

    Има питане Имам фиброза на черния. Дроб мога ли да дойда на преглед при вас Ако може ще сьм благодарен От София сьм

  3. www.framar.bg отговаря
    www.framar.bg отговаря 
    на 20 August 2020 в 13:10

    Златко Табаков

    На 68год.,със сериозни проблеми по отношение на незадържане на изпражнения или чревна инконтиненция.Можете ли да ми посочите лекар от гр.Варна за решаване на проблемите ми.Или ваши мнение и препоръки. zht52@abv.bg 0888 747861 Ще ви бъда безкрайно благодарен.

    Здравейте! Това е информационна страница, а не платформа за връзка с лекари. Ето списък със специалисти във Варна: Хуманни лекари Гастроентерология в Варна град

  4. Златко Табаков 
    на 20 August 2020 в 12:15

    На 68год.,със сериозни проблеми по отношение на незадържане на изпражнения или чревна инконтиненция.Можете ли да ми посочите лекар от гр.Варна за решаване на проблемите ми.Или ваши мнение и препоръки. zht52@abv.bg 0888 747861 Ще ви бъда безкрайно благодарен.

При възникнало съмнение за здравословен проблем или нужда от лечение, моля винаги се обръщайте за медицинска консултация към квалифициран и правоспособен лекар или фармацевт. В никакъв случай не възприемайте дадената Ви чрез сайта информация като абсолютно достоверна и правилна, дори и същата да се окаже такава.
Данни на Фрамар ООД:
  • Фрамар ООД, ЕИК: 123732525, Стара Загора, ул. Петър Парчевич № 26, телефон: 0875 / 322 000, e-mail: office@framar.bg
  • За контакт
  • Borika
  • MasterCard
  • mastercard securecode
  • Visa
  • verified by visa
Информация:
  • Общи условия
  • Политика за поверителност
  • Политика за използване на бисквитки
  • Право на отказ от договора
  • Рекламации
  • Доставка
  • Плащания
  • Отстъпки за регистрирани клиенти
  • Промоции и безплатна доставка
  • Често задавани въпроси
  • При възникване на спор, свързан с покупка онлайн, можете да ползвате сайта ОРС
  • Български Фармацевтичен съюз
  • Изпълнителна агенция по лекарствата
  • Комисия за защита на потребителите
  • Министерство на здравеопазването
БДА NextGenerationEU DMCA.com Protection Status
© 2007 - 2026 Аптеки Фрамар. Всички права запазени! Framar.bg във Facebook
Изработка на уеб сайт от Valival