Framar.bg 0
0
Е-аптека Промоции
Здравна библиотека
Здравни проблеми Медицинска енциклопедия Заболявания Симптоми и признаци Алтернативна медицина Анатомия Медицински изследвания Лечения Физиология Патология Ботаника Микробиология Фармакологични групи Медицински журнал Взаимодействия История на медицината и фармацията Здравето А-Я
Диагностик
Здравна помощ
Здравен справочник Специалисти Здравни заведения Аптеки Институции и организации Образование Спорт и туризъм Клинични пътеки Нормативни актове Бизнес Социални грижи Форум Консултации
Здравна медия
Здравни новини Любопитно Интервюта Видео Презентации Научни публикации Анкети Бъди активен Кампании
Здраве и начин на живот
Хранене Хранене при... Рецепти Диети Групи храни и ястия Съставки Е-тата в храните Спорт Съвети Психология Лайфстайл Интерактивни
За нас
За Фрамар За реклама Статистика Общи условия Екип Кариера Адреси на аптеки Фрамар Блог Важно Автори Програма за лоялни клиенти Промоционална брошура
Контакти
Назад | Начало Автори във Framar.bg д-р Лилия Пашова-Стоянова

д-р Лилия Пашова-Стоянова

автор във Framar.bg

д-р Лилия Пашова-Стоянова - изображение
  • Инфо
  • Публикации
  • Коментари
Инфо
Инфо
Публикации
Коментари

Д-р Лилия Жечева Пашова-Стоянова, дм, освен в “Медицинска енциклопедия" нa Фрамар, е дългогодишен автор на здравни статии в различни научни списания, вестници и интернет сайтове. Част е от екипа на “Фрамар” от 2016-та година. Като академичен преподавател в университет и автор, нейната мисия е да събуди интереса към науката и медицината в повече хора. Автор е на множество материали, свързани с лекарства, хранителни добавки и лечение на заболявания.

Интереси:

Фармакология, педиатрия, гастроентерология, ендокринология

Рубрики, в които работи:

  • Здравни проблеми
  • Лечения
  • Заболявания

Участия в български и международни форуми:

  • Pashova-Stoyanova L, M.Ganeva. Angiotensin type 1 and angiotensin type 2 receptors in diabetes mellitus. ХХVІ Международна конференция на Съюзa на учените – Стара Загора, 2-3 юни 2016. Постерна Секция Медицина. Програма стр.16
  • Пашова-Стоянова Л, Толекова А, Ганева М. Експериментални модели на захарен диабет тип-2 при опитни животни. Научна Конференция „Дръзновение и Младост във Фармакологията“ Цигов чарк, 7-9 октомври, 2016 г.
  • Pashova-Stoyanova L., Role of the renin-angiotensin-aldosterone system in diabetes and its complications. ХХVІI Международна конференция на Съюзa на учените – Стара Загора, 1-2 юни 2017. Постерна Секция Медицина. Програма стр. 7
  • P. Hadzhibozheva, Ts. Georgiev, N. Genov, L. Pashova, J. Tsokeva, Kr. Nancheva, R. Sandeva, G. Ilieva, A. Tolekova, M. Ganeva; Metabolic disturbances in fructose fed rats and their impact on angiotensin II stimulated contractility of the smooth muscle; гр. Стара Загора, 8-th Bulgarian peptide symposium, June 08 – June 10, 2018
  • Росица Сандева, Лилия Пашова-Стоянова, Гергана Сандева, Анна Толекова, Мария Ганева; Дефицитът на витамин Д – риск за хронични, несвързани с костното здраве болести; гр. Сливен, Юбилейна научна конференция „Съвременни тенденции в здравните грижи“, 21-22.09.2018г.
  • L. Pashova-Stoyanova, Zh. Tsokeva, Kr. Nancheva, P. Hadzhibozheva, Ts. Georgiev, Vitamin D effects on uric acid in the experimental model of metabolic disorders in fructose fed Wister rats, гр. София, Тринадесета работна среща с международно електронно участие „Биологична активност на метали, синтетични съединения и природни продукти“, 19-21.11.2018
  • Pashova-Stoyanova L, Vitamin D effects on lipid profile and uric acid levels in the experimental model of metabolic disorders in fructose fed Wister , Stara Zagora, Faculty of medicine, Trakia University, Experimental models and methods, International scientific symposium, December 17-18, 2018

Курсове:

  • Педагогически курс
  • Медицински английски език
  • Статистически софтуер за обработка на данни – основни методи
  • Защита и хуманно отношение към опитни животни, използвани за научни или образователни цели
  • Интродукция в биостатистика R

Публикации в сайтове:

Ако страдате от синдром на раздразнено черво, направете активна промяна в психическото ви благоразположение и съдържанието на чинията

Как бързо да отслабна? Отговорът на д-р Линия Пашова-Стоянова

Как се махат пестицидите - съветите на д-р Лилия Пашова-Стоянова

Скритите сигнали за болест на щитовидната жлеза: Как да разпознаем автоимунниятиреоидит (тиреоидит на Хашимото)?

 

Повече информация за д-р Лилия Пашова-Стоянова

5.0/5 33 оценки

Публикации на автора

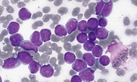
C91.0 Остра лимфобластна левкемия

C91.0 Остра лимфобластна левкемия

Заболявания
Острата лимфобластна левкемия е сред най-честите при децата, като често протича с увеличение на черн...
https://medpedia.framar.bg/заболявания/мкб-c910-4/остра-лимфобластна-левкемия
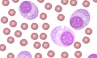
C91 Лимфоидна левкемия

C91 Лимфоидна левкемия

Заболявания
В рубриката лимфоидна левкемия се включват прогресивни малигнени пролиферативни заболявания на Т или...
https://medpedia.framar.bg/заболявания/мкб-c91-3/лимфоидна-левкемия
C96.9 Злокачествено новообразувание на лимфната, кръвотворната и сродните им тъкани, неуточнено

C96.9 Злокачествено новообразувание на лимфната, кръвотворната и сродните им тъкани, неуточнено

Заболявания
При злокачествено новообразувание на лимфната, кръвотворната и сродните им тъкани, неуточнено, се на...
https://medpedia.framar.bg/заболявания/мкб-c969-4/злокачествено-новообразувание-на-лимфната-кръвотворната-и-сродните-им-тъкани-неуточнено
C96.7 Други уточнени злокачествени новообразувания на лимфната, кръвотворната и сродните им тъкани

C96.7 Други уточнени злокачествени новообразувания на лимфната, кръвотворната и сродните им тъкани

Заболявания
При други уточнени злокачествени новообразувания на лимфната, кръвотворната и сродните им тъкани се ...
https://medpedia.framar.bg/заболявания/мкб-c967-4/други-уточнени-злокачествени-новообразувания-на-лимфната-кръвотворната-и-сродните-им-тъкани
C96.2 Злокачествен мастоклетъчен тумор

C96.2 Злокачествен мастоклетъчен тумор

Заболявания
Форма на системна мастоцитоза е така нареченият злокачествен мастоклетъчен тумор. Заболяването прогр...
https://medpedia.framar.bg/заболявания/мкб-c962-4/злокачествен-мастоклетъчен-тумор
C96 Други и неуточнени злокачествени новообразувания на лимфната, кръвотворната и сродните им тъкани

C96 Други и неуточнени злокачествени новообразувания на лимфната, кръвотворната и сродните им тъкани

Заболявания
Други и неуточнени злокачествени новообразувания на лимфната, кръвотворната и сродните им тъкани са ...
https://medpedia.framar.bg/заболявания/мкб-c96-3/други-и-неуточнени-злокачествени-новообразувания-на-лимфната-кръвотворната-и-сродните-им-тъкани
C96.0 Болест на Letterer-Siwe

C96.0 Болест на Letterer-Siwe

Заболявания
При болест на Letterer-Siwe се наблюдава патологична пролиферация на Лангерхансовите клетки, които с...
https://medpedia.framar.bg/заболявания/мкб-c960-4/болест-на-letterer-siwe
Билки за повишаване на хемоглобина

Билки за повишаване на хемоглобина

Алтернативна медицина
Някои билки, като коприва, шипка, глухарче, люцерна и жълт кантарион, могат да бъдат полезни за пови...
https://medpedia.framar.bg/алтернативна-медицина/билки-за-повишаване-на-хемоглобина
C90.1 Плазмоклетъчна левкемия

C90.1 Плазмоклетъчна левкемия

Заболявания
Плазмоклетъчна левкемия е рядък агресивен вариант на множествения миелом. Характеризира се с разпрос...
https://medpedia.framar.bg/заболявания/мкб-c901-4/плазмоклетъчна-левкемия
C90.2 Плазмоцитом, екстрамедуларен

C90.2 Плазмоцитом, екстрамедуларен

Заболявания
При плазмоцитом, екстрамедуларен, е налице злокачествено новообразувание на плазмените клетки, като ...
https://medpedia.framar.bg/заболявания/мкб-c902-4/плазмоцитом-екстрамедуларен
B67.4 Инвазия, предизвикана от Echinococcus granulosus, неуточнена

B67.4 Инвазия, предизвикана от Echinococcus granulosus, неуточнена

Заболявания
При инвазия, предизвикана от Echonococcus granulosus, неуточнена, е налице развитие на паразитни кис...
https://medpedia.framar.bg/заболявания/мкб-b674-4/инвазия-предизвикана-от-echinococcus-granulosus-неуточнена
C93.9 Моноцитна левкемия, неуточнена

C93.9 Моноцитна левкемия, неуточнена

Заболявания
В рубриката моноцитна левкемия, неуточнена, се включват състояния, протичащи с повишен брой на клетк...
https://medpedia.framar.bg/заболявания/мкб-c939-4/моноцитна-левкемия-неуточнена
12345188189
На страница по:

Коментари към д-р Лилия Пашова-Стоянова

От сайта (6)
Напиши коментар 6 коментара
  1. www.framar.bg отговаря
    www.framar.bg отговаря 
    на 24 January 2023 в 16:48

    РАЙКА ХРИСТОВА

    ЗДРАВЕЙТЕ!СТРАДАМ ОТ РАЗШИРЕНИ ВЕНИ И БИХ ИСКАЛА ДА ПОПИТАМ МОЖЕ ЛО ЕДНОВРЕМЕННО ДА СЕ ПРИЕМА АСКЕТОН О АСПИРИН ПРОТЕКТ?ПРЕДВАРИТЕЛНО БЛАГОДАРЯ!

    Здравейте! Възможно е взаимодействие. Консултирайте се с лекаря си за прием на комбинацията.

  2. РАЙКА ХРИСТОВА 
    на 23 January 2023 в 17:05

    ЗДРАВЕЙТЕ!СТРАДАМ ОТ РАЗШИРЕНИ ВЕНИ И БИХ ИСКАЛА ДА ПОПИТАМ МОЖЕ ЛО ЕДНОВРЕМЕННО ДА СЕ ПРИЕМА АСКЕТОН О АСПИРИН ПРОТЕКТ?ПРЕДВАРИТЕЛНО БЛАГОДАРЯ!

  3. www.framar.bg отговаря
    www.framar.bg отговаря 
    на 29 June 2022 в 15:03

    Димитър Николаев

    Здравейте, В статията за л-тирозин според мен има грешка 150 мг/на килограм тегло е много това прави около 13 грама за 80 килограмов човек по реално ми се струва да е около 15 мг Поздрави

    Здравейте! Няма грешка в информацията. Има се предвид дози до 150 мг на килограм тегло.

  4. Димитър Николаев 
    на 29 June 2022 в 11:18

    Здравейте, В статията за л-тирозин според мен има грешка 150 мг/на килограм тегло е много това прави около 13 грама за 80 килограмов човек по реално ми се струва да е около 15 мг Поздрави

  5. www.framar.bg отговаря
    www.framar.bg отговаря 
    на 24 June 2019 в 10:56

    Мишо маринов

    Здравейте искам да попитам може ли да се проведе терапия от разстояние понеже аз съм в Италия...

    Здравейте! Това е информационна страница, а не платформа за връзка.

  6. Мишо маринов 
    на 23 June 2019 в 15:44

    Здравейте искам да попитам може ли да се проведе терапия от разстояние понеже аз съм в Италия...

При възникнало съмнение за здравословен проблем или нужда от лечение, моля винаги се обръщайте за медицинска консултация към квалифициран и правоспособен лекар или фармацевт. В никакъв случай не възприемайте дадената Ви чрез сайта информация като абсолютно достоверна и правилна, дори и същата да се окаже такава.
Данни на Фрамар ООД:
  • Фрамар ООД, ЕИК: 123732525, Стара Загора, ул. Петър Парчевич № 26, телефон: 0875 / 322 000, e-mail: office@framar.bg
  • За контакт
  • Borika
  • MasterCard
  • mastercard securecode
  • Visa
  • verified by visa
Информация:
  • Общи условия
  • Политика за поверителност
  • Политика за използване на бисквитки
  • Право на отказ от договора
  • Рекламации
  • Доставка
  • Плащания
  • Отстъпки за регистрирани клиенти
  • Промоции и безплатна доставка
  • Често задавани въпроси
  • При възникване на спор, свързан с покупка онлайн, можете да ползвате сайта ОРС
  • Български Фармацевтичен съюз
  • Изпълнителна агенция по лекарствата
  • Комисия за защита на потребителите
  • Министерство на здравеопазването
БДА NextGenerationEU DMCA.com Protection Status
© 2007 - 2026 Аптеки Фрамар. Всички права запазени! Framar.bg във Facebook
Изработка на уеб сайт от Valival